スタッフ一同、笑顔で皆様をお迎えいたします。
緊張感を少しでも軽減できるように待合室を広くし、カフェのように落ち着いた空間にしております。また、 キッズルームをご用意しておりますので子供連れの方にも安心して来院していただけます。

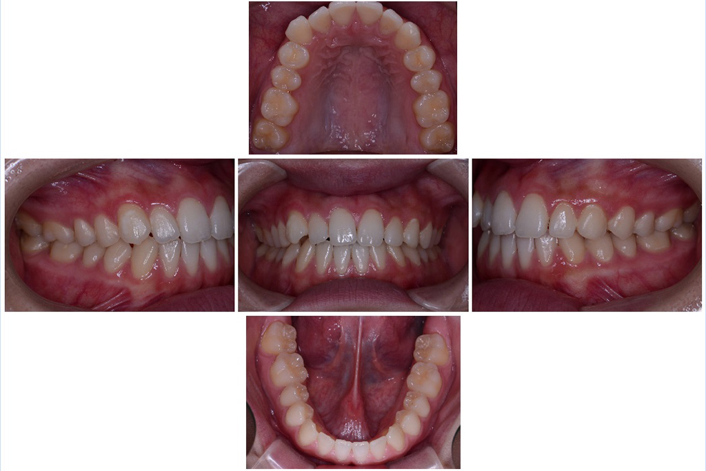
患者さんの話をしっかりと聞いた上で現状の確認をし、レントゲン撮影等診断に必要な検査を行います。必要に応じて口腔内の写真を撮らせていただき、実際のお口の中を確認しながら説明を行い、一人ひとりに合わせた治療計画の立案をします。

リラックスした気持ちで診療を受けていただけるよう、区切られた空間を広くとり、快適なチェアをご用意しております。また、落ち着いた気持ちで診療できるように温かみのある診療室にしております。

患部を3次元で確認することの出来る歯科用CT、規格化されたレントゲン画像を撮ることができるセファロ、口腔内の状態を把握することの出来るパノラマ、患部の詳細を確認するデンタルなど、最新のデジタルレントゲン機器を使用することで患者さんへの被爆を最小限に抑えながらも正確な情報を入手します。
実際に口腔内の状態を確認してもらうことで患者さんの理解を深め、納得していただいてから治療に進むようにしています。
-
滅菌器
近年院内感染という言葉を耳にすることがあります。 当院では皆様に少しでも安心して来院していただけるように、世界基準をクリアしたクラスB滅菌器を導入し、完全滅菌された器具を患者様ごとに使用いたします。徹底した感染対策を行いますので安心して診療をお受けください。
-
滅菌パック
近年院内感染という言葉を耳にすることがあります。 当院では皆様に少しでも安心して来院していただけるように、世界基準をクリアしたクラスB滅菌器を導入し、完全滅菌された器具を患者様ごとに使用いたします。徹底した感染対策を行いますので安心して診療をお受けください。
-
ハンドピース用滅菌機
歯を削る器材専用の滅菌機です。安心して治療を受けていただく為、ハンドピースはこの器械で患者さんごとに毎回滅菌を行っております。通常、滅菌に40~50分かかりますが、こちらの器械ですとわずか10分に短縮することができます。内部までしっかり滅菌する事が可能です。
新宮おがわ歯科 おとな・こども歯科では、精密で安全な治療を行うために、Carl Zeiss社のマイクロスコープを導入しております。
最大20倍の視野が実現し、これまで肉眼では確認することの出来なかった小さな虫歯の取り残し防止や精度の高い根の治療、また、目に見えない細かいヒビの確認等、治療の際にマイクロスコープを使用することで治療の質の向上が実現しました。
また、実際に治療の映像を見ながら説明することで患者さん自身に口腔内に興味を持っていただくことに成功しました。
また、歯科用CTを導入したことでより難易度の高い治療にも対応することが出来るようになりました。
-
電動麻酔器
歯医者嫌いな方の原因の一つに麻酔の時の注射が挙げられることがあります。当院では電動麻酔器を用いて、麻酔液を一定の速度で注入することで、痛みを最小限に抑えています。
-
口臭測定器
新宮おがわ歯科 おとな・こども歯科では、最新の口臭測定器(オーラルクローマ)を用いた口臭のチェックが可能です。口臭の原因となるガスを分析し、一人一人にあった歯周病治療、セルフケアについて提示させていただきそれに基づいた診療を行います。術前後を比較することで目に見える形で成果を確認することが可能となりました。仮性口臭症(口臭がないのに気になる)の診断にも役立ちます。
-
根管治療用機器
当院が力を入れている治療の一つが根管治療とよばれる根っこの処置です。 根の治療を行う際には専用の機器とニッケルチタンファイルを使用します。 根の治療に長い期間を費やしてきた経験があると思いますが、正しい知識を持って正しい道具を使用することでより正確に、短期間で治療を行うことが可能になりました。
-
拡大鏡
当院では歯科衛生士にも拡大鏡の使用を推奨しております。術野を可 視化することで丁寧な治療やセメントの取り残しの防止につながります。
印象材(歯型採取の際に口に入れるゴムのような材料)を使用せず、カメラを使用し口腔内をスキャンします。短時間で完了するため、患者さんへの負担を軽減する事ができます。
治療中に飛び散った唾液や、歯や詰め物・被せ物などの修復物を削った粉塵を瞬時に吸い込む機械です。
診療室内を清潔に保ち、院内感染のリスクを低減することができます。
高圧のウォータースプレーと特殊なパウダーを使用し、歯周組織に負担をかけることなく歯面と歯周ポケットの歯垢やバイオフィルム(細菌の膜)を取り除くことができる機器です。
GBTとは?
「GBT」は「Guided Biofilm Therapy」の略称で、これまでの歯周病治療から一歩進んだ「歯周病治療のシステム」のことです。
GBTに特化したスイス製の「エアフロー プロフィラキシスマスター」という機器を使い、バイオフィルム・ステイン・歯石などを除去して歯周病治療とメンテナンスを行います。
■GBTのポイント
これまでの歯周病治療は、超音波を使った歯石除去やPMTCによるクリーニングなど、手用器具を使った処置が主流でした。GBTはエアフローを活用して、象牙質・セメント質・エナメル質・歯肉などさまざまな歯科組織への侵襲性を抑えるために傷つきにくく、歯を守ることにつながります。
さらに、歯周病の原因となるバイオフィルム(菌のかたまり)を染色して可視化することで、除去しやすくしています。GBTには、歯のう蝕や歯周病を予防する効果が期待できます。




















